Thursday, February 19, 2015

Igg4 Disease Diagnosis

IgG4-related Prostatitis - Wikipedia, The Free Encyclopedia
IgG4-related prostatitis is the term used to describe prostate involvement in men with IgG4-related disease (IgG4-RD), which is an emerging fibroinflammatory disease entity which is characterised (i) by a tendency to tumefactive, or mass forming, lesions in multiple sites of the body and (ii) by ... Read Article

Endosonography In Autoimmune Pancreatitis - YouTube
Abstract: Autoimmune pancreatitis is a rare disease which is hard to diagnose without a definitive histology. Therefore endosonographic experiences are quite ... View Video

Igg4 Disease Diagnosis Pictures

IgG4-related disease: Nomenclature, Clinical Features, And ...
IgG4-related disease: nomenclature, clinical features, and treatment clue to the diagnosis of IgG4-related hypophysitis. Imaging studies reveal a pituitary mass or thickened pituitary stalk (Figure 4). In some patients, both the imaging findings and ... Fetch Doc

Igg4 Disease Diagnosis Photos

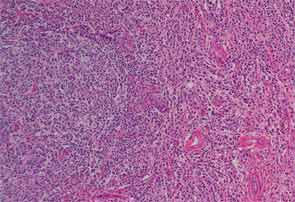
Systemic IgG4-related disease With Extensive Peripheral Nerve ...
Systemic IgG4-related disease with extensive peripheral nerve involvement that progressed As part of the differential diagnosis of IgG4-related lymphadenopathy, malignant lymphomas or lymphopro-liferative disorders need to be excluded [10,11]. ... Fetch Here

Igg4 Disease Diagnosis Images

IgG4-Related Autoimmune Diseases - Deutsches Ärzteblatt
Diagnosis of IgG4-related disease should only be given Diagnostic FIGURE 1 algorithm corresponding to the diagnostic cr iteria proposed by the Japanese study group for IgG4-eassed ei dt ael r (modified from O kazaki et al. [10]) IgG4+: IgG4- positive HPF ... Get Content Here

Igg4 Disease Diagnosis Images

MASSACHUSETTS GENERAL HOSPITAL INTERNATIONAL SYMPOSIUM ON ...
IgG4-Related Disease Symposium Agenda . MASSACHUSETTS GENERAL HOSPITAL . INTERNATIONAL SYMPOSIUM ON IgG4- RELATED DISEASE. Day 1 - October 4, 2011 . An Evening C. Pathologic criteria for the Diagnosis of IgG4-RD. ... Content Retrieval

Pictures of Igg4 Disease Diagnosis

IgG4 Related Disease Of The Head And Neck - Springer
The diagnosis of IgG4 related disease, and although the diagnosis is often suspected on clinical and serologic parameters, a definitive diagnosis is seldom achieved without a biopsy [1, 2, 5]. This paradigm is unlikely to ... Return Document

Photos of Igg4 Disease Diagnosis

IgG4-related Interstitial Lung disease: A New And Evolving ...
Essential to the diagnosis of IgG4-related ILD, careful diagnosis of IgG4-related lung disease and correlated these with pathologic findings. The authors identified four predominant radiographic patterns associated with IgG4-related lung disease. ... Document Viewer

Igg4 Disease Diagnosis Pictures

So Many Organs, 1 Diagnosis: IgG4-related Disease
Plasma cells in tissue confirms the diagnosis.11 Our patient had 2 of the 3 major histopathological features plus an elevated tissue IgG4:total IgG ratio, which allowed us to ... View Doc


There is specific criteria which must be met to qualify for SSDI (Social Security Disability Insurance). Do you qualify? ... Read Article

Images of Igg4 Disease Diagnosis

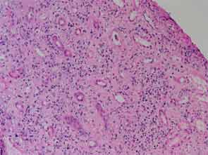
Putative IgG4-related Pituitary disease With Hypopituitarism ...
Ciated with this disease [4-11]. Central diabetes in-sipidus and/or disturbed anterior hormone production Received Jan. 28, 2010; of the cases with a putative diagnosis of IgG4-related pituitary disease identified in our database (Cases 3 ... Access Document

Heavy Drinking Increases Risk Of Atrial Fibrillation
Many researchers agree that heavy alcohol consumption and binge drinking increases the risk of atrial fibrillation, an irregular heartbeat that can lead to stroke. ... Read Article

Images of Igg4 Disease Diagnosis

IgG4-related Lung And Pleural Disease: A Clinicopathologic ...
Diagnosis of IgG4-related Lung and Pleural Diseases Formalin-fixed and paraffin-embedded specimens IgG4-related lung disease is important because the 2 differ in their responsiveness to steroids. Histologically, imm- ... Read Here

Igg4 Disease Diagnosis Images

Final Diagnosis: IgG4 Thyroiditis Discussion
Final Diagnosis: IgG4 Thyroiditis . Discussion: IgG4 thyroiditis belongs to a new disease entity called IgG4 related diseases. In recent studies, it has also ... Doc Viewer

Autoimmune Pancreatitis - Wikipedia, The Free Encyclopedia
Type 1 AIP is now regarded as a manifestation of IgG4-related disease, [2] and those affected have tended to be older and to have a high relapse rate. It is mandatory to rule out carcinoma prior to making a diagnosis of AIP. Diagnosis ... Read Article

IgG4-related disease - Wikipedia, The Free Encyclopedia
IgG4-related disease (IgG4-RD) is a relapsing–remitting immune-mediated fibroinflammatory disease characterised by: People are often described as being generally well at the time of diagnosis, although some may give a history of weight loss. ... Read Article

Images of Igg4 Disease Diagnosis

Consensus Statement On The Pathology Of IgG4-related disease
Consensus statement on the pathology of IgG4-related disease Vikram Deshpande1,31, Yoh Zen2,31, John KC Chan3, Eunhee E Yi4, Yasuharu Sato5, pathologists with a set of guidelines for the diagnosis of IgG4-related disease. ... Fetch Content

Images of Igg4 Disease Diagnosis

Review Article: Diagnosis And Management Of Igg4 ... - IMedPub
Review Article: Diagnosis and Management of Igg4 Autoimmune Pancreatitis Ahmed Salem, Diaa Hamouda, of systemic IgG4-related disease, therefore, other organs can be involved prior, concomitant, or subsequent to pancreatic involvement. ... Retrieve Full Source

Igg4 Disease Diagnosis Images

IgG4-Related Disease Of The Gastrointestinal Tract
Guidelines for the diagnosis of IgG4-related disease have been proposed, including those for autoimmune pancreatitis, as well as strategies to assist the histopathologist.5–7 These guidelines emphasize the need for close collabora- ... Access Document

Diagnostic Utility Of Serum IgG4 Concentrations In IgG4 ...
Want to watch this again later? Sign in to add this video to a playlist. This EJournal Club series will engage rheumatologists, and other interested clinicians in an examination, discussion, and assessment of the most recent peer-reviewed literature on rheumatic diseases. Dr. Leonard ... View Video

Igg4 Disease Diagnosis

Diagnostic Criteria For IgG4-related Ophthalmic disease
Table 1 Comprehensive diagnostic criteria for IgG4-related disease, 2011a I. Concept IgG4-related disease (IgG4-RD) shows organ enlargement or nodular/hyperplastic lesions in various organs concurrently or metachronously, ... Retrieve Document

Igg4 Disease Diagnosis Images

AUTOIMMUNE PANCREATITIS AND IGG-4 RELATED DISEASE
AUTOIMMUNE PANCREATITIS AND IGG-4 RELATED DISEASE Prasad Kulkarni, MD FACG Assoc Professor of Medicine USF Director, GI Endoscopy James A Haley VA Hospital, Tampa FL ... Retrieve Here

Igg4 Disease Diagnosis Photos

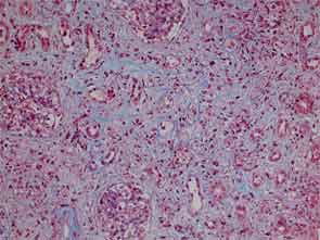
Diagnosis Of IgG4-related Sclerosing Cholangitis
IgG4-SC DIAGNOSIS Cholangiographic classification IgG4-SC displays various cholangiographic features simi-lar to those of PCa, PSC, and CC. The characteristic fea- ... Return Doc

Pictures of Igg4 Disease Diagnosis

Diagnostic Approach To The Complexity Of IgG4-Related Disease
Red Flags for the Diagnosis of IgG4-Related Disease Epidemiological features Middle-aged men Patients from Southeast Asian countries Clinical findings Tumefactive lesion in 1 organs Abdominal symptoms Orbital swelling Renal dysfunction Salivary gland swelling ... Access Doc

No comments:

Post a Comment